网站首页 > 宠物知识 正文
一般狗狗的皮肤问题多半都是由真菌、螨虫或者细菌感染引起的。真菌和螨虫感染到一定程度都会引起皮肤的脱毛、皮屑、皮炎、湿疹、溃烂等问题。
但螨虫感染相对真菌感染来说会瘙痒更剧烈一些,真菌感染一般是以皮屑和局部脱毛为主,但有些狗狗也有混合感染的情况。
混合感染,建议可以用肤康灵或皮肤药浴液来治疗,对螨虫、真菌引起的皮肤问题都有治疗作用。 同时最好给狗狗体外驱个虫,如果有体外寄生虫,也是会引起狗狗皮肤问题的。
狗狗是螨虫真菌交叉感染哦~
你千万不要大意了哦~
你可以给给狗狗用犬菌清和犬虫净哦~
这两样配合着用~
狗狗很快就会康复了 ~
你到药店买人用的治藓的药水,大概十几元钱,不要喷,用棉签涂,这样狗狗就会让你治疗。我就是这样就给狗治藓,几天就好。
大家好,我是黑妹,一名宠物医生,很高兴为大家解答这个问题,小狗真菌病如何治疗?
小狗真菌感染(癣菌元素感染)属于皮肤病哦,一般情况下真菌病不会对生命造成威胁的。
其实在现实生活中很多宠物身上都会携带癣菌元素,因为狗狗的生活环境的的确确是比人类要复杂的!
有的狗狗携带了癣菌元素也不会出现病变,那为什么有的狗狗会出现真菌病呢?
其实很大一部分的真菌病是由于宠物的免疫力,皮肤的抵抗力下降所造成的!而且每个个体的免疫力情况都是不同的,有的是不易感体质,有的则是易感体质。
真菌感染?其实真菌感染的范围挺大的。

真菌病一定要确诊再做治疗哦。有效治疗的前提就是正确的诊断!
同样的皮肤病灶可能会是不同的皮肤病,是需要做鉴别诊断的。只有明确的诊断,才能正确的用药,这样宠物才能得到有效的治疗。比如说明明是由于浅表脓皮症造成的病变,但是当做真菌病用治疗真菌的药物治疗,那么这个病变百分之百是不能被治愈的。
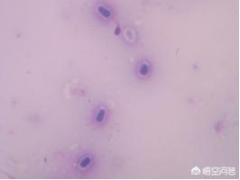
皮肤细胞学下的癣菌元素。
只有做了检查才能确诊哦!确诊之后就可以进行下一步了,如何有效的进行真菌病的治疗。
那么确诊了确实是真菌病该如何治疗?
如果只是单病灶的小小的一个病变,我们可以尝试外部治疗。可以使用酮康唑软膏涂抹病变的位置,或者使用多可素药棉每日涂擦病变位置。
如果病灶是多个的或者范围比较大的。一般来说使用外部治疗基本是无效的哦。这时候就需要进行全身的抗真菌治疗,一般来说我个人不太建议使用针剂治疗,因为本人崇尚简单粗暴的治疗方法,我们可以直接以5-10mg/kg的剂量给予宠物伊曲康唑!每天喂一次就足够了,一般来说吃上个两周,如果有好转再多喂一周。
伊曲康唑有肝毒性,如果宠物吃了以后皮肤变黄的就立刻停药,再用别的治疗方法,如果出现肝毒性并且及时停药一般来说是没有问题的。况且我这么多年也没有碰到过有伊曲康唑药物反应的宠物,不过这只能说是一个概率的问题!
真菌病不可怕,一般不会致命,但是必须在治疗前确诊是否真的是真菌感染造成的,否则就很难进行有效的治疗。
我是黑妹致力于帮助大家解决宠物难题,可以关注我哦!
.给狗狗10天左右洗一次澡,狗窝,狗狗的衣物等用品最少一周洗一次。把狗窝设立在通风干燥的地方,经常把狗窝晒晒以消毒。
把狗狗真菌严重部位的毛剔除,真菌部位一般会痒,如果狗狗已经把这个地方咬烂了,就涂上双氧水,然后涂上碘伏,一天3到4次,注意不要让狗狗舔到药水。
过一个星期看看效果。如果情况还是如此,并且有些地方也出现真菌情况,就带狗狗去宠物医院看看病吧。
吃灰黄霉素或安特芬,这是专门治疗真菌的药物。但光吃药效果不太好,加上外用药会好些。真菌好的慢,至少要连续治疗2个星期以上。注意不要让狗狗在潮湿环境下生活,勤消毒。
饮食方面注意营养均衡,营养不均衡皮肤就容易被感染,可以每天加一粒21金维他,或者吃狗粮。但这些都是辅助,主要还是要对症下药,病才能好。
- 上一篇: 萨摩耶多久成年(萨摩耶多久算成犬)
- 下一篇: 猪鼻龟的饲养方法(猪鼻龟饲养方法和技巧)
猜你喜欢
- 2026-02-08 不进食乌龟如何补充营养(乌龟不进食怎么补充营养)
- 2026-02-08 爱斯基摩狗 世界十大危险犬种
- 2026-02-08 宠物手术衣制作(动物手术衣制作)
- 2026-02-08 茶杯多少钱一个小的(茶杯多少钱一只图片)
- 2026-02-08 狗狗不吃饭只喝水没精神(狗狗不吃饭只喝水没精神吃什么药)
- 2026-02-08 动物是怎么配偶(动物的配偶是固定的吗)
- 2026-02-08 世界上最小的鸟和最大的鸟(世界上最小的鸟是什么鸟它的长度是多少)
- 2026-02-08 58同城领养小猫(58同城领养小猫咪北京)
- 2026-02-07 狗狗感冒了有什么症状 (狗狗感冒了有什么反应)
- 2026-02-07 纯种狗和不纯种的区别(纯种狗和不纯种的区别图片)
- 02-08不进食乌龟如何补充营养(乌龟不进食怎么补充营养)
- 02-08爱斯基摩狗 世界十大危险犬种
- 02-08宠物手术衣制作(动物手术衣制作)
- 02-08茶杯多少钱一个小的(茶杯多少钱一只图片)
- 02-08狗狗不吃饭只喝水没精神(狗狗不吃饭只喝水没精神吃什么药)
- 02-08动物是怎么配偶(动物的配偶是固定的吗)
- 02-08世界上最小的鸟和最大的鸟(世界上最小的鸟是什么鸟它的长度是多少)
- 02-0858同城领养小猫(58同城领养小猫咪北京)
- 最近发表
- 标签列表
-
